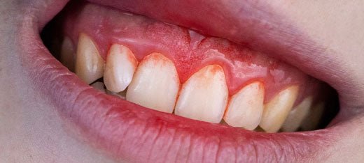
Gingivite, gencives douloureuses

La gingivite est une affection courante des gencives qui se caractérise par une inflammation des tissus gingivaux, c'est-à-dire les gencives qui entourent les dents.
La gingivite est généralement provoquée par l'accumulation de plaque dentaire, une fine couche de bactéries et de débris alimentaires qui se forment constamment sur les dents. Voici quelques informations importantes à connaître sur la gingivite :
-
Causes: La principale cause de la gingivite est une mauvaise hygiène bucco-dentaire. Lorsque la plaque dentaire n'est pas éliminée régulièrement par un brossage adéquat et l'utilisation de fil dentaire, elle peut irriter les gencives et provoquer une inflammation.
-
Symptômes: Les symptômes courants de la gingivite comprennent des gencives rouges, des inflammations et sensibilités, des blessures occasionnelles lors du brossage ou de l'utilisation du fil dentaire, une mauvaise haleine et parfois une sensation de douleur ou de gêne au niveau des gencives.
-
Prévention: La meilleure façon de prévenir la gingivite est de maintenir une bonne hygiène bucco-dentaire. Cela inclut le brossage des dents au moins deux fois par jour, l'utilisation du fil dentaire pour éliminer la plaque entre les dents, et des visites régulières chez le dentiste pour des nettoyages professionnels.
-
Traitement: Le traitement de la gingivite consiste principalement à éliminer la plaque dentaire accumulée. Votre dentiste peut vous recommander un nettoyage dentaire professionnel pour éliminer la plaque et le tartre. Il peut également vous donner des conseils sur la manière de maintenir une meilleure hygiène bucco-dentaire à la maison.
-
Complications: Si la gingivite n'est pas traitée, elle peut évoluer vers une forme plus grave de maladie des gencives appelée parodontite. La parodontite peut endommager les tissus de soutien des dents et entraîner éventuellement la perte de dents.
Il est essentiel de prendre la gingivite au sérieux et de consulter un dentiste dès que vous remarquez des signes de cette affection. Une intervention précoce peut généralement prévenir la progression de la gingivite vers une parodontite plus grave. Une bonne hygiène bucco-dentaire est fondamentale pour la santé de vos gencives et de vos dents.
Articles récents
- Carie dentaire : causes, symptômes, prévention & soins
- Brosse à dents bébé : conseils, prévention et soins dentaires
- La carie du biberon : causes, préventions et solutions pour l'éviter.
- Avoir les Dents blanches Naturellement
- Pourquoi l'hygiène bucodentaire ?
- Gingivite, gencives douloureuses
Catégories
- Ampheris
- ampheris Silver Care
- antibacterien
- athletisme
- avoir-des-dents-blanches
- bactérie
- bacteries
- bacteries-dentaires
- bonne haleine
- brossage des dents
- brosse a dents
- brosse a dents enfant
- brosse a dents ionique
- brosse a dents manuelle
- brosse a dents silver care
- brosse-a-dents-bebe
- carie dentaire
- carie-du-biberon
- choisir une brosse à dents enfant
- comment se brosser les dents
- comment-avoir-des-dents-blanches
- comment-nettoyer-sa-prothese-dentaire
- contamination
- couleur tube de dentifrice
- covid 19
- dentifrice
- dentifrice dangereux
- dents dechaussees
- dents-blanches
- detartrage
- effet ionique
- escalade
- foot-ball
- gencive
- gencive qui saigne
- gencives qui saignent
- gingivite
- histoire-du-dentifrice
- hygiene
- hygiène dentaire
- importance-de-l-hygiene-dentaire
- invention de la brosse a dents
- le-sport-et-la-brosse-a-dents
- mauvaise haleine
- nettoyer-sa-prothese-dentaire
- parachutisme
- plaque dentaire
- plaque-dentaire
- postillons
- quelle est la meilleure brosse a dents
- qui a invente la brosse a dents
- salive
- santé buccodentaire
- sante-bucco-dentaire
- sante-buccodentaire
- silver care
- soins-dentaires
- tartre dentaire
- tartre-dentaire
- tête brosse a dents
- tete de brosse a dents